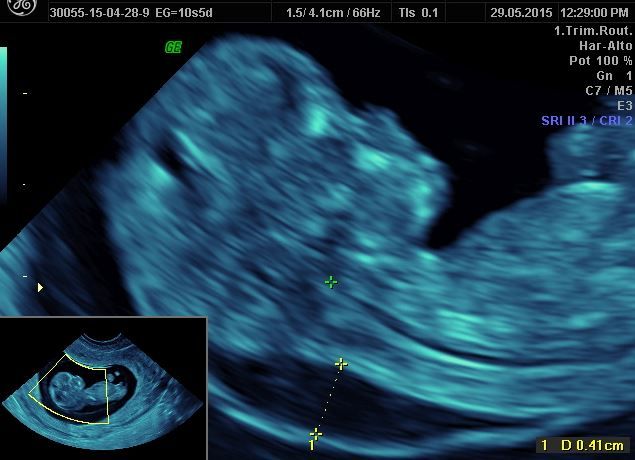
La prueba de translucencia nucal es un examen de detección que se hace durante el embarazo. Utiliza una ecografía para medir el grosor de la acumulación de líquido en la nuca del bebé en desarrollo. Si esta zona es más gruesa de lo normal, puede ser una señal temprana de síndrome de Down, trisomía 18 o problemas cardíacos.
La prueba se realiza entre las semanas 11 y 14 del embarazo. Puede hacerse como parte de la prueba de detección del primer trimestre o de la prueba de detección integrada.
La prueba indica la probabilidad de que un bebé pueda tener un problema determinado. No puede decir con seguridad que un bebé tenga un problema. Usted necesitaría un examen de diagnóstico, como una muestra de vellosidades coriónicas (CVS, por sus siglas en inglés) o una amniocentesis, para averiguar con seguridad si el bebé realmente tiene un problema.


